
Rasheeda Mohamedali 1, Nilay Nishith 1 *, Rahul Raj 1, Aishwarya Sharma 1, Puneet Kaur Somal 1, Ravikiran N Pawar 1, Sankalp Sancheti 1, Deepander Singh Rathore 2
* Corresponding author: Dr Nilay Nishith, MD, DNB, Assistant Professor, Department of Onco-Pathology, Homi Bhabha Cancer Hospital and Research Centre, New Chandigarh, Punjab, India. Email: drnilaynishith@gmail.com.
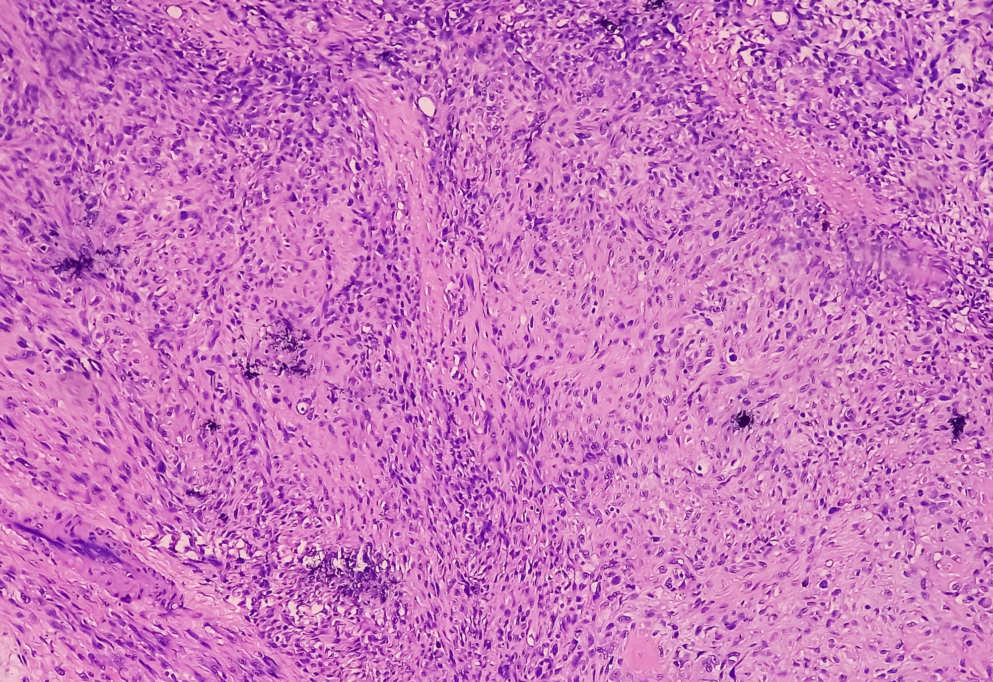
Low-grade fibromyxoid sarcoma (LGFMS) is a rare fibroblastic neoplasm with an indolent clinical course. It is a distinctive subclass of soft tissue sarcoma with metastasizing potential and sometimes a long interval between tumor presentation and metastasis. This case report describes a 60-year-old female with an unresectable pleural LGFMS initially misdiagnosed as malignant mesothelioma. Pleural LGFMS remains exceedingly rare, with only four prior cases reported. Given its histologically benign appearance, LGFMS poses diagnostic challenges and risks of local recurrence or metastasis. This case underscores the importance of accurate diagnosis using MUC4 and it explores endocrine therapy as a promising palliative option for unresectable LGFMS, contributing valuable insights into management strategies for this rare entity.