
Meher Ayyazuddin¹,*, Adelyn Mendoza¹, Vismay Patel¹, Rubba Shoukat Khan¹, Rehan Shah¹
* Corresponding authors: Meher Ayyazuddin, MD; Department of Internal Medicine, Hudson Regional Health Bayonne University Hospital, 29 E 29 St Bayonne NJ 07002, USA; Email: meherayyaz@gmail.com
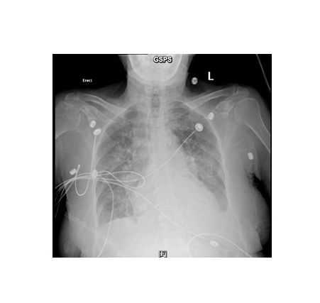
Diuretic resistance is a major therapeutic challenge in acute decompensated heart failure (ADHF). Acetazolamide, a carbonic anhydrase inhibitor, has emerged as a potential adjunct to conventional loop diuretics, as demonstrated in the ADVOR trial. We present a 74-year-old woman with acute coronary syndrome complicated by cardiogenic shock and refractory pulmonary edema despite inotropic support and guideline-directed therapy. The patient received intravenous acetazolamide 500 mg daily for three days, resulting in marked diuresis and radiographic resolution of pulmonary edema within 72 hours. The patient improved clinically. This case supports the potential utility of acetazolamide as an adjunctive strategy for overcoming diuretic resistance in ADHF.